Our advanced Microabrasion Technology removes spots and stains on the teeth.
Spots on teeth can result from a number of causes including accident, trauma, developmental abnormalities, braces, tooth decay, medications, smoking, and to much fluoride in the water. Removing these stains can be difficult and teeth whitening or bleaching may not be effective.
Microabrasion is a quick and painless stain removal solution for removing yellow, white, or brown spots, stains, and discolorations on the teeth. Microabrasion Advanced Technology uses hydrochloric acid and pumice to gently remove thin layers of tooth enamel, removing the stains.
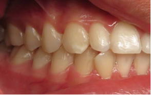
Before
During
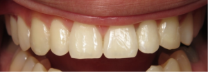
After
THE PROCEDURE
Before the procedure begins, the teeth being treated are isolated with a rubber dam to protect the gums from the acid and pumice materials. The teeth stain removal materials are then gently rubbed onto the surface of the tooth either manually or using a very slow speed rubber cup. After a few layers of enamel are removed, the mixture is rinsed from the teeth and the results evaluated. This process may be performed repeatedly until the desired results are achieved.
After the procedure is completed, the teeth are usually bathed in a fluoride gel to remove post-operative sensitivity and the rubber dam is removed. The procedure usually takes only about an hour and is permanent. Only micro layers of enamel are removed, so it is safe.
THE PATIENT
This young patient had fluoride staining that kept her from wanting to smile.
After just one visit, she was able to gain back her confidence!
No injections! No drilling Quick & Pain Free!




